Dental cavities, also called dental caries, are caused by tooth decay, and are an oral health concern impacting patients of all ages. Cavities are caused by oral bacteria, sugary diets, and inadequate oral hygiene. A comprehensive treatment plan is pivotal for sustaining oral wellness. Our dental practice is committed to aiding patients in crafting effective oral health routines to ensure their mouths are clear of cavities and other oral health issues. By understanding the origins of cavities and implementing proper oral hygiene habits, patients can significantly reduce their risk of dental decay. Our goal is to empower patients with the knowledge and guidance needed to proactively maintain good oral health and prevent potential oral health issues.
Book Today!
Causes of Cavities and Dental Decay
Cavities are the result of a combination of factors primarily influenced by oral hygiene, dietary habits, and bacterial activity within the mouth. Understanding these contributing causes is fundamental in preventing cavity formation and maintaining good oral health.
One of the causes of cavities is bacteria. The human mouth hosts numerous types of bacteria, some of which form a sticky biofilm called plaque, which forms on tooth surfaces. These bacteria thrive on sugars and carbohydrates from food remnants left in the mouth after eating. As bacteria feed on these sugars, they produce acids that can erode the protective enamel layer of teeth, leading to cavity formation.
Diet is the next most common cause in cavity development. Frequent consumption of sugary or acidic foods and beverages heightens the risk. Sugary treats, sodas, candies, and even natural sugars found in fruits can feed the bacteria in our mouth, promoting acid production and enamel erosion. Acidic foods and drinks can directly weaken enamel, making teeth more susceptible to decay.
Inadequate oral hygiene practices significantly contribute to cavities. Poor flossing and brushing habits allow plaque to accumulate on your teeth, providing a breeding ground for harmful bacteria. When plaque is not regularly removed, it hardens into tartar, increasing the risk of decay and gum disease.
Conditions that lead to reduced saliva production, such as certain medications, medical treatments, or health issues, can contribute to cavity formation. Saliva plays a crucial role in neutralizing acids in the mouth and aiding in the remineralization of enamel. Reduced saliva flow diminishes the mouth’s natural defense mechanism against cavities.
Overall, a combination of factors including bacterial presence, dietary choices high in sugars and acids, inadequate oral hygiene, and reduced saliva flow collectively contribute to the development of cavities. Preventive measures targeting these causes are pivotal in maintaining optimal oral health and preventing dental decay. Regular flossing, brushing, a balanced diet, and routine dental check-ups are essential in preventing cavities and preserving a healthy smile.
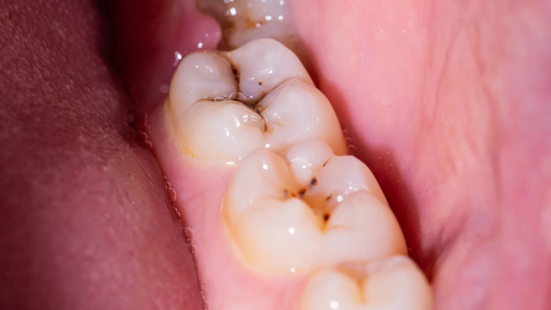
Types and Symptoms of Dental Cavities
Cavities and dental decay can exhibit various symptoms, often indicating different stages of progression. Recognizing these signs is crucial in seeking timely dental care to prevent further deterioration. Common symptoms associated with cavities and dental decay include toothaches, tooth sensitivity, visible holes or pits, visible discoloration, pain while chewing, halitosis (bad breath), or pus around the tooth. Recognizing these symptoms and promptly seeking professional dental care can help prevent further tooth decay, alleviate discomfort, and preserve dental health. Regular dental check-ups play a crucial role in detecting cavities in their early stages when treatment is typically less invasive and more effective. During your dental check-up, our dentist will examine your teeth for signs of dental decay. It is important to know that cavities can occur on all areas of a tooth, above and below the gum line, and are classified based on where they occur and their extent of progression.
- Smooth Surface Cavities | These cavities occur on the flat surfaces of our teeth and are typically the result of plaque buildup. They often progress slowly and can be easier to detect during regular dental check-ups.
- Pit and Fissure Cavities | Found on the chewing surfaces of molars and premolars, these cavities occur in the pits and fissures of teeth, making them more susceptible to food particle accumulation and decay. These areas can be more challenging to clean effectively, leading to increased cavity risk.
- Root Cavities | Root cavities develop on the tooth roots, usually in patients with gum recession or periodontal disease. When gums recede, the tooth roots become exposed, making them vulnerable to decay. Root cavities can progress rapidly due to the softer nature of root surfaces compared to enamel.
- Coronal Cavities | These are the most common type and occur on the crown or visible surface of a tooth. Coronal cavities can affect both enamel and dentin, progressing deeper into the tooth structure if left untreated.
- Recurrent Cavities | Sometimes referred to as secondary cavities, these develop around existing dental fillings, crowns, or other restorative dental work. They occur due to the breakdown of the material or the presence of bacteria at the margins of the dental restoration.
- Baby Bottle Tooth Decay | This type of cavity specifically affects infants and toddlers. It is often associated with prolonged exposure to sugary liquids such as milk, formula, or fruit juice in baby bottles, especially when the child is put to bed with a bottle. Baby bottle tooth decay commonly affects the upper front teeth.
The severity of cavities varies, ranging from initial enamel demineralization (incipient cavities) to more advanced decay involving deeper layers of the tooth. Early detection through regular dental check-ups and appropriate treatment are crucial in preventing cavity progression and preserving dental health. Additionally, maintaining good oral hygiene practices and a balanced diet plays a significant role in cavity prevention.
Treatments and Prevention Tips
Treatments for cavities and tooth decay aim to remove the decayed portion of a tooth and restore its structure. Prevention strategies focus on reducing the risk factors associated with cavity development. Depending on the severity of the cavity, our dentist will assess your tooth to determine the most appropriate method for restoring its function.
- Fillings | Our dentist typically uses fillings to treat cavities. The decayed portion of the tooth is removed, and the resulting space is filled with a material such as composite resin, amalgam, or porcelain to restore the tooth’s shape and function.
- Crowns | For more extensive decay that weakens the tooth’s structure, a crown might be necessary. This involves reshaping the tooth and placing a crown over it to protect and restore its functionality.
- Root Canal Treatment | When decay reaches the tooth’s pulp, causing infection or severe pain, a root canal may be necessary. This procedure involves removing the infected pulp, cleaning the area, and sealing it to save the tooth.
- Tooth Extraction | In cases where the tooth is extensively decayed and cannot be restored, extraction might be the only option to prevent the spread of infection to the surrounding teeth.
Preventing cavities and tooth decay involves a combination of good oral hygiene practices, dietary choices, and regular dental care. The most effective forms of care include flossing after every meal, brushing twice daily, use fluoride products, have a balance diet, drink plenty of water, eat sugar-free gum, quit smoking and tobacco use, consider dental sealants for high bacteria areas, and schedule regular dental check-ups every 4-6-months. By implementing these preventive measures and seeking prompt dental care when needed, patients can significantly reduce the risk of cavities and tooth decay, helping them to maintain good oral health.


