Dental Crowns In Manhattan
- Ranked New York’s Top Dentist For Crowns
- Get Crowns For Less!
- Guaranteed Quality, Unmatched Results
[forminator_form id="2578"]
+ 10,000 Happy Smiles
Over 40 Years In Manhattan!
9 Experienced Doctors
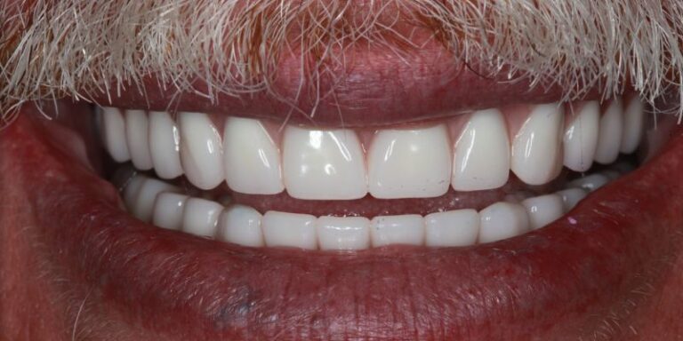
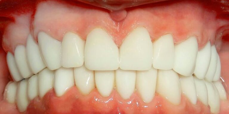
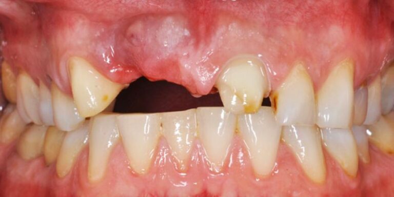
Dental CrownsFrom Single Dental Implants to All-On-4
Missing teeth can hurt your smile and make it hard to eat and talk properly. They also weaken your jawbone over time. At DDS Group NYC, we use dental implants to fix these problems for good. Our implants help you feel confident again and work just like real teeth! We can replace one tooth or give you a whole new set of teeth with our All-on-4 treatment.
Restore Full Function & Strength
- Restore chewing power
- Protect weak teeth from further damage
- Prevent A Tooth Extraction
Natural-Looking Results
- Matched To Your Exact Tooth
- Mimics Natural Enamel
- Renew Your Smile
Confidence
- Eliminate Tooth Pain
- Smile Confidently!
- Speak Naturally Again
See What Our Patients Have to Say!
I don’t have words to express how satisfied I feel about this dental office I have been wasting my time and my insurance with different dental offices until last week I made a resource looking who dental doctor accept my 1199 union dental benefits and I found this clinic with Dr Montenegro and the Gigi performing the cleaning and I have to said they are extremely helpful and very professional . Gigi is a powerful professional tech with higher levels of knowledge than anyone I met before . Also I appreciate the all staff in particular Michelle it’s secreting this unit very knowledgeable and helpful employees. This place is an amazing dental office and I highly recommend coming here . Please I said the truth. If anyone need a place with the most highly qualified dentist and assistant include the staff COME HERE . Also although it’s in the downtown area doesn’t have any inconvenient because subway 4 and 5 leave you here across the street. I will post a request also in my own language Spanish as soon I get home I’m so happy and Thanks very appreciated
Always a pleasure to be taken care of by the best. Dr. Handler and Oksana are amazing and gentle. They are so good at what they do i fell asleep. Thank you ladies for giving me a smile again.
Staff are friendly and knowledgeable, and do a great job explaining the steps of everything
Response from the owner 19:11 28 Jul 25
We truly appreciate your 5-star review! Our team is dedicated to making every visit positive and supportive. Nilsa was the best!
Response from the owner 19:10 28 Jul 25
Thank you for your 5-star feedback! Dr. Bader is the absolute best! Everyone in the office is nice and happy and the office generally has great vibes
Response from the owner 19:39 03 Jul 25
Thank you for your kind words. A positive atmosphere filled with warmth and kindness is part of how we care for happy smiles. When friendliness and uplifting energy come together, it helps our team to create an experience that feels calm and welcoming. Most People Qualify For Financing! Are You A Good Candidate?
If you have multiple missing teeth and are in generally good health you will almost always qualify as a good candidate to submit for financing. If there is a problem that could prevent you from getting dental implants we will create a treatment plan to get you ready for implants.







